상인램브란트치과

Clinical Photography

매주 올리는 임상사진 LOG

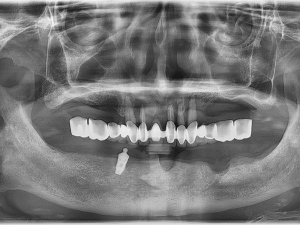
디지털 임플란트
어르신 임플란트

eb2c1ef5d028b65ba02bce69ca5bf9a9_1751615451_3737.jpg
eb2c1ef5d028b65ba02bce69ca5bf9a9_1751615451_4313.jpg